Ministerio de Ciencia e Innovación

Noticias

  • CIBEROBN
    Un alto consumo de alimentos ultraprocesados acelera el envejecimiento celular al acortar los telómeros
    15/05/2020
    Un alto consumo de alimentos ultraprocesados acelera el envejecimiento celular al acortar los telómeros
  • CIBERDEM
    La inflamación crónica de los enfermos de Crohn provoca cambios epigenéticos en las células madre de la grasa
    15/05/2020
    La inflamación crónica de los enfermos de Crohn provoca cambios epigenéticos en las células madre de la grasa
  • CIBERCV
    Un ratón transgénico evidencia el papel clave de una proteína en la hipertrofia cardíaca
    14/05/2020
    Un ratón transgénico evidencia el papel clave de una proteína en la hipertrofia cardíaca
  • CIBEROBN
    Identifican la “firma metabólica” de la dieta mediterránea que predice la enfermedad cardiovascular en población española y de Estados Unidos
    14/05/2020
    Identifican la “firma metabólica” de la dieta mediterránea que predice la enfermedad cardiovascular en población española y de Estados Unidos
  • CIBERONC
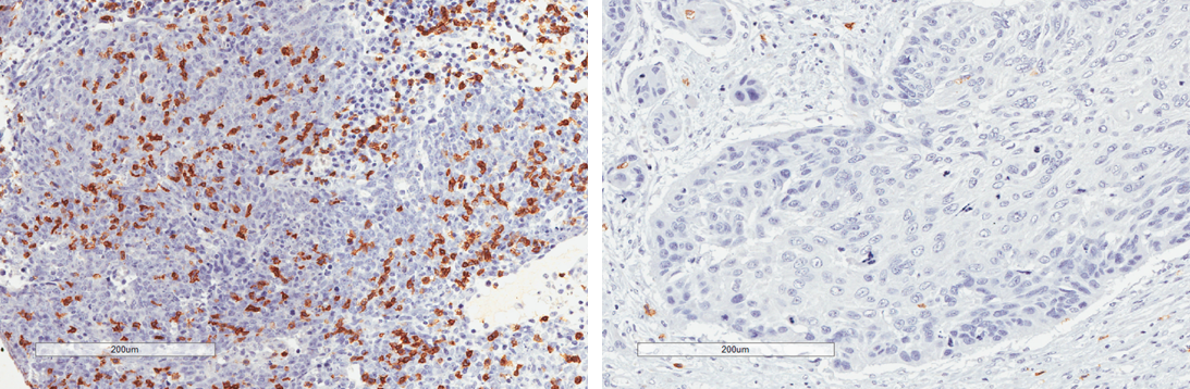
    Identifican nuevos mecanismos reguladores de una molécula con funciones clave en el sistema inmunitario y tumores
    14/05/2020
    Identifican nuevos mecanismos reguladores de una molécula con funciones clave en el sistema inmunitario y tumores
  • CIBERONC
    La capacidad biosintética,  clave para erradicar las células madre tumorales
    12/05/2020
    La capacidad biosintética, clave para erradicar las células madre tumorales
  • CIBERDEM
    Identificada una ruta genética implicada en la inflamación asociada a la diabetes mellitus tipo 1
    12/05/2020
    Identificada una ruta genética implicada en la inflamación asociada a la diabetes mellitus tipo 1
  • CIBERER
    El CIBER recibe una ayuda para desarrollar un medicamento contra la COVID-19 basado en la proteína receptora del virus
    12/05/2020
    El CIBER recibe una ayuda para desarrollar un medicamento contra la COVID-19 basado en la proteína receptora del virus
  • CIBERSAM
    Las personas con esquizofrenia tienen alteraciones en el metabolismo energético y en el ADN mitocondrial
    11/05/2020
    Las personas con esquizofrenia tienen alteraciones en el metabolismo energético y en el ADN mitocondrial
  • CIBERESP
    La exposición a la contaminación atmosférica durante el embarazo se asocia con un retraso del crecimiento físico en los primeros años de vida
    08/05/2020
    La exposición a la contaminación atmosférica durante el embarazo se asocia con un retraso del crecimiento físico en los primeros años de vida
  • CIBERER
    Ofrecen una primera aproximación de terapia génica para la enfermedad MLC en modelos preclínicos
    08/05/2020
    Ofrecen una primera aproximación de terapia génica para la enfermedad MLC en modelos preclínicos
  • CIBEROBN
    Identifican un sistema de autocontrol molecular que evitaría un exceso de actividad de la grasa parda
    07/05/2020
    Identifican un sistema de autocontrol molecular que evitaría un exceso de actividad de la grasa parda
  • CIBERESP
    Investigadoras del CIBERESP estudian la resistencia a antirretrovirales del VIH en Guinea Ecuatorial
    06/05/2020
    Investigadoras del CIBERESP estudian la resistencia a antirretrovirales del VIH en Guinea Ecuatorial
  • CIBERER
    Un producto de terapias avanzadas que combina edición genómica y bioingeniería tisular, designado medicamento huérfano para la piel de mariposa
    06/05/2020
    Un producto de terapias avanzadas que combina edición genómica y bioingeniería tisular, designado medicamento huérfano para la piel de mariposa
  • CIBERBBN
    Prueban un nuevo fármaco que elimina las células senescentes y reduce la toxicidad en el tratamiento del cáncer
    05/05/2020
    Prueban un nuevo fármaco que elimina las células senescentes y reduce la toxicidad en el tratamiento del cáncer
  • CIBEREHD
    Investigadores del CIBEREHD participan en la elaboración de la guía SETH para ampliar criterios de trasplante hepático
    05/05/2020
    Investigadores del CIBEREHD participan en la elaboración de la guía SETH para ampliar criterios de trasplante hepático
  • CIBERBBN
    Nuria Montserrat abre el Congreso de la Sociedad Valencia de Nefrología: microorganoides para el manejo de las enfermedades renales
    05/05/2020
    Nuria Montserrat abre el Congreso de la Sociedad Valencia de Nefrología: microorganoides para el manejo de las enfermedades renales
  • CIBEREHD
    Desarrollan nuevos fármacos para el tratamiento de las enfermedades hepatorrenales poliquísticas
    05/05/2020
    Desarrollan nuevos fármacos para el tratamiento de las enfermedades hepatorrenales poliquísticas
  • CIBEROBN
    Seguir las pautas para prevención del cáncer y un estilo de vida saludable reduce casi a la mitad el riesgo de cáncer colorrectal en mayores
    04/05/2020
    Seguir las pautas para prevención del cáncer y un estilo de vida saludable reduce casi a la mitad el riesgo de cáncer colorrectal en mayores
  • CIBERONC
    Desarrollada una nueva terapia prometedora contra uno de los cánceres de mama más agresivos
    04/05/2020
    Desarrollada una nueva terapia prometedora contra uno de los cánceres de mama más agresivos
  • CIBEREHD
    Rafael Bañares, nuevo director científico del CIBER de Enfermedades Hepáticas y Digestivas
    04/05/2020
    Rafael Bañares, nuevo director científico del CIBER de Enfermedades Hepáticas y Digestivas
  • CIBER
    El CIBER recibe dos ayudas urgentes para mejorar el abordaje clínico del COVID-19
    04/05/2020
    El CIBER recibe dos ayudas urgentes para mejorar el abordaje clínico del COVID-19
  • CIBER
    Identificado el mecanismo que emplea el virus de la gripe para provocar daño cardíaco
    30/04/2020
    Identificado el mecanismo que emplea el virus de la gripe para provocar daño cardíaco
  • CIBERONC
    La proteína SOX2, posible biomarcador para conocer la evolución tumoral y la eficacia de fármacos en un tipo de sarcoma
    30/04/2020
    La proteína SOX2, posible biomarcador para conocer la evolución tumoral y la eficacia de fármacos en un tipo de sarcoma