Ministerio de Ciencia e Innovación

Regeneran piel humana a partir de un clon de células editadas genéticamente

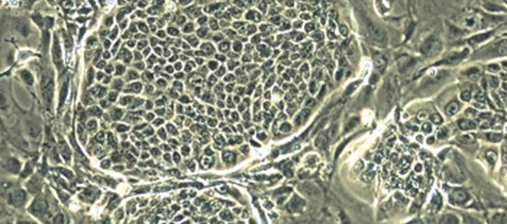
Colonias de células epidérmicas editadas genéticamente
martes, 2 de diciembre de 2014

Un trabajo de la U714 CIBERER en el CIEMAT-UC3M publicado en la prestigiosa revista Molecular Therapy ha demostrado por primera vez la capacidad regeneradora de piel de un único clon de queratinocitos humanos (células epiteliales de la piel) editado genéticamente. Aunque el clon provenía en este estudio de células normales y su edición génica las hacía expresar un gen marcador no terapéutico, el trabajo abre las puertas a otros en los que se corrija una enfermedad genética como la epidermolisis bullosa o enfermedad de piel de mariposa de forma segura evitando el riesgo de efectos adversos asociado a las estrategias de terapia génica tradicionales.

La terapia génica representa una opción terapéutica válida para ciertas enfermedades raras que carecen de tratamiento efectivo. Sin embargo, algunas estrategias corrientes presentan riesgos de genotoxicidad y otros inconvenientes. La terapia permanente por edición génica mediada por diversas nucleasas, entre las que destacan las ZFN, las TALENs y más recientemente el sistema CRISPR/Cas9, se presenta como una alternativa biosegura avanzada a las técnicas “convencionales” de adición del gen terapéutico. Dada su actual baja eficiencia, la edición génica puede requerir el aislamiento y clonaje de las células modificadas. Estos clones modificados deben ser capaces además de regenerar el tejido de origen o, lo que es lo mismo, poseer características de células madre si se desea emplearlos en estrategias ex vivo como las planteadas para la corrección de algunas enfermedades genéticas de la piel o la sangre. La prueba fehaciente de estas capacidades puede obtenerse a través de modelos experimentales de regeneración de tejido en animales, un abordaje muy complicado. En este trabajo, cuya primera firmante es Blanca Duarte, colabora también un grupo de la Universidad de Módena e investigadores del CNIO.

Artículo:

Duarte B, Miselli F, Murillas R, Espinosa-Hevia L, Cigudosa JC, Recchia A, Del Río M, Larcher F. Long-term skin regeneration from a gene-targeted human epidermal stem cell clone. Molecular Therapy. 2014 Nov;22(11):1878-80.

doi: 10.1038/mt.2014.187