Ministerio de Ciencia e Innovación

El factor de crecimiento transformante β1, nueva diana terapéutica en la hipoacusia inducida por ruido

miércoles, 25 de marzo de 2015

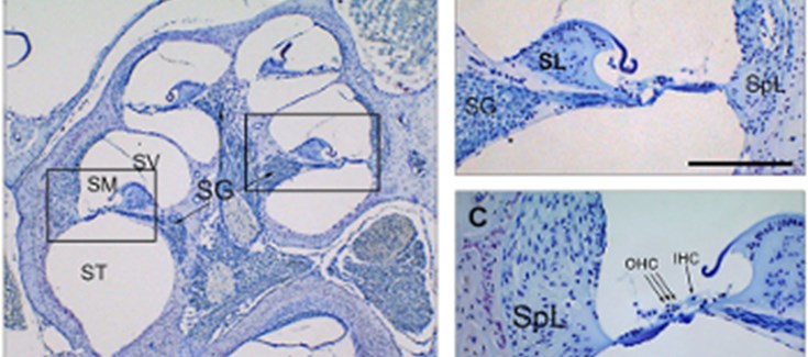
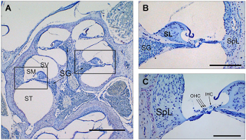
La U761 CIBERER, dirigida por la doctora Isabel Varela-Nieto, y la unidad F1 de la plataforma SEFALer han publicado los resultados de un ensayo preclínico en el que se evalúa la seguridad y la eficacia de dos péptidos inhibidores del factor de crecimiento transformante (TGF) β1 en el tratamiento de la hipoacusia inducida por ruido (ORPHA90059). Por primera vez se confirma que la expresión de esta citoquina aumenta en la cóclea de ratones tras la exposición a ruido y que la inhibición de su actividad contribuye a la prevención y reparación de los daños producidos en el receptor auditivo, por lo que constituye una nueva estrategia terapéutica para esta patología.

Los resultados de este trabajo se han publicado en la revista Frontiers in Aging Neuroscience.

Murillo-Cuesta S, Rodríguez-de la Rosa L, Contreras C, Celaya AM, Camarero G, Rivera T, Varela-Nieto I.Transforming growth factor β1 inhibition protects from noise-induced hearing loss. Frontiers in Aging Neuroscience 2015