Ministerio de Ciencia e Innovación

Noticias

  • CIBERSAM
    Patentado un efectivo sistema de nanopartículas de cannabinoides de administración oral contra el dolor crónico neuropático
    17/08/2015
    Patentado un efectivo sistema de nanopartículas de cannabinoides de administración oral contra el dolor crónico neuropático
  • CIBERER
    Gran éxito de la primera Reunión internacional sobre albinismo oculocutáneo en África subsahariana
    30/07/2015
    Gran éxito de la primera Reunión internacional sobre albinismo oculocutáneo en África subsahariana
  • CIBERER
    Asocian el gen EGR2 con la enfermedad de Charcot-Marie-Tooth axonal
    30/07/2015
    Asocian el gen EGR2 con la enfermedad de Charcot-Marie-Tooth axonal
  • CIBERSAM
    Eduard Vieta será nombrado doctor "honoris causa" de la Universitat de València
    29/07/2015
    Eduard Vieta será nombrado doctor "honoris causa" de la Universitat de València
  • CIBERER
    Orphanet actualiza su informe sobre medicamentos huérfanos
    29/07/2015
    Orphanet actualiza su informe sobre medicamentos huérfanos
  • CIBER
    Las mujeres manifiestan una peor salud que los hombres en países con políticas familiares tradicionales
    28/07/2015
    Las mujeres manifiestan una peor salud que los hombres en países con políticas familiares tradicionales
  • CIBERBBN
    Nuevo biomarcador para la enfermedad de Alzheimer
    28/07/2015
    Nuevo biomarcador para la enfermedad de Alzheimer
  • CIBERER
    Hallan un nuevo gen asociado al síndrome de Rett y discapacidad intelectual
    22/07/2015
    Hallan un nuevo gen asociado al síndrome de Rett y discapacidad intelectual
  • CIBERESP
    El ruido del tráfico rodado en la infancia puede relacionarse con problemas de comportamiento, como hiperactividad
    21/07/2015
    El ruido del tráfico rodado en la infancia puede relacionarse con problemas de comportamiento, como hiperactividad
  • CIBERES
    El desarrollo normal de los pulmones en los primeros años de vida es clave para evitar la Enfermedad Pulmonar Obstructiva Crónica
    20/07/2015
    El desarrollo normal de los pulmones en los primeros años de vida es clave para evitar la Enfermedad Pulmonar Obstructiva Crónica
  • CIBERBBN
    Martínez Máñez dirigirá la nueva Unidad Mixta de Investigación en Nanomedicina y Sensores del IIS La Fe y la UPV
    20/07/2015
    Martínez Máñez dirigirá la nueva Unidad Mixta de Investigación en Nanomedicina y Sensores del IIS La Fe y la UPV
  • CIBERSAM
    Personalidad y estrés en las madres se asocia con sintomatología depresiva postparto
    17/07/2015
    Personalidad y estrés en las madres se asocia con sintomatología depresiva postparto
  • CIBERES
    La ventilación no invasiva es un método eficaz para tratar insuficiencia respiratoria y apneas del sueño en pacientes con obesidad
    16/07/2015
    La ventilación no invasiva es un método eficaz para tratar insuficiencia respiratoria y apneas del sueño en pacientes con obesidad
  • CIBERES
    El suplemento alimenticio contra la tuberculosis producido por la spin-off Manremyc se venderá en la India en 2016
    15/07/2015
    El suplemento alimenticio contra la tuberculosis producido por la spin-off Manremyc se venderá en la India en 2016
  • CIBER
    Investigadores del CIBER-BBN y CIBEREHD participan en el proyecto Liver on a Chip, premiado en el Concurso de Innovación en Salud del VHIR
    14/07/2015
    Investigadores del CIBER-BBN y CIBEREHD participan en el proyecto Liver on a Chip, premiado en el Concurso de Innovación en Salud del VHIR
  • CIBERSAM
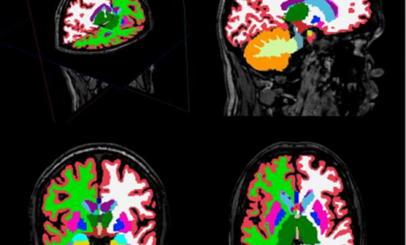
    Describen alteraciones en estructuras cerebrales en pacientes con esquizofrenia descubiertas mediante un innovador análisis de imagen cerebral
    14/07/2015
    Describen alteraciones en estructuras cerebrales en pacientes con esquizofrenia descubiertas mediante un innovador análisis de imagen cerebral
  • CIBERDEM
    Un estudio relaciona alteraciones en un tipo específico de neuronas con la diabetes de tipo 2
    14/07/2015
    Un estudio relaciona alteraciones en un tipo específico de neuronas con la diabetes de tipo 2
  • CIBEREHD
    Investigadores del CIBEREHD reciben el premio a la mejor comunicación en Gastroenterología básica del Congreso de la SEPD
    13/07/2015
    Investigadores del CIBEREHD reciben el premio a la mejor comunicación en Gastroenterología básica del Congreso de la SEPD
  • CIBERER
    Familias e investigadores participarán en la primera Reunión española sobre ENACH
    09/07/2015
    Familias e investigadores participarán en la primera Reunión española sobre ENACH
  • CIBERSAM
    Un metaanálisis de estudios de fMRI confirma que existe un patrón de activación/desactivación neural asociado con el condicionamiento del miedo
    08/07/2015
    Un metaanálisis de estudios de fMRI confirma que existe un patrón de activación/desactivación neural asociado con el condicionamiento del miedo
  • CIBERBBN
    El Ministerio de Economía y Competitividad presenta NANBIOSIS
    03/07/2015
    El Ministerio de Economía y Competitividad presenta NANBIOSIS
  • CIBERSAM
    CIBERSAM edita dos guías para mejorar la calidad de vida de los niños y jóvenes afectados por trastornos psicóticos y sus familias
    01/07/2015
    CIBERSAM edita dos guías para mejorar la calidad de vida de los niños y jóvenes afectados por trastornos psicóticos y sus familias
  • CIBERER
    CIBERER participó en un curso de verano sobre la investigación en enfermedades raras y medicamentos huérfanos en Navarra
    30/06/2015
    CIBERER participó en un curso de verano sobre la investigación en enfermedades raras y medicamentos huérfanos en Navarra
  • CIBERDEM
    Elaine Vieira, Ponencia invitada en el congreso de la ADA celebrado en Boston
    30/06/2015
    Elaine Vieira, Ponencia invitada en el congreso de la ADA celebrado en Boston